Cerebral vein and dural sinus thrombosis
Main Article Content
Abstract
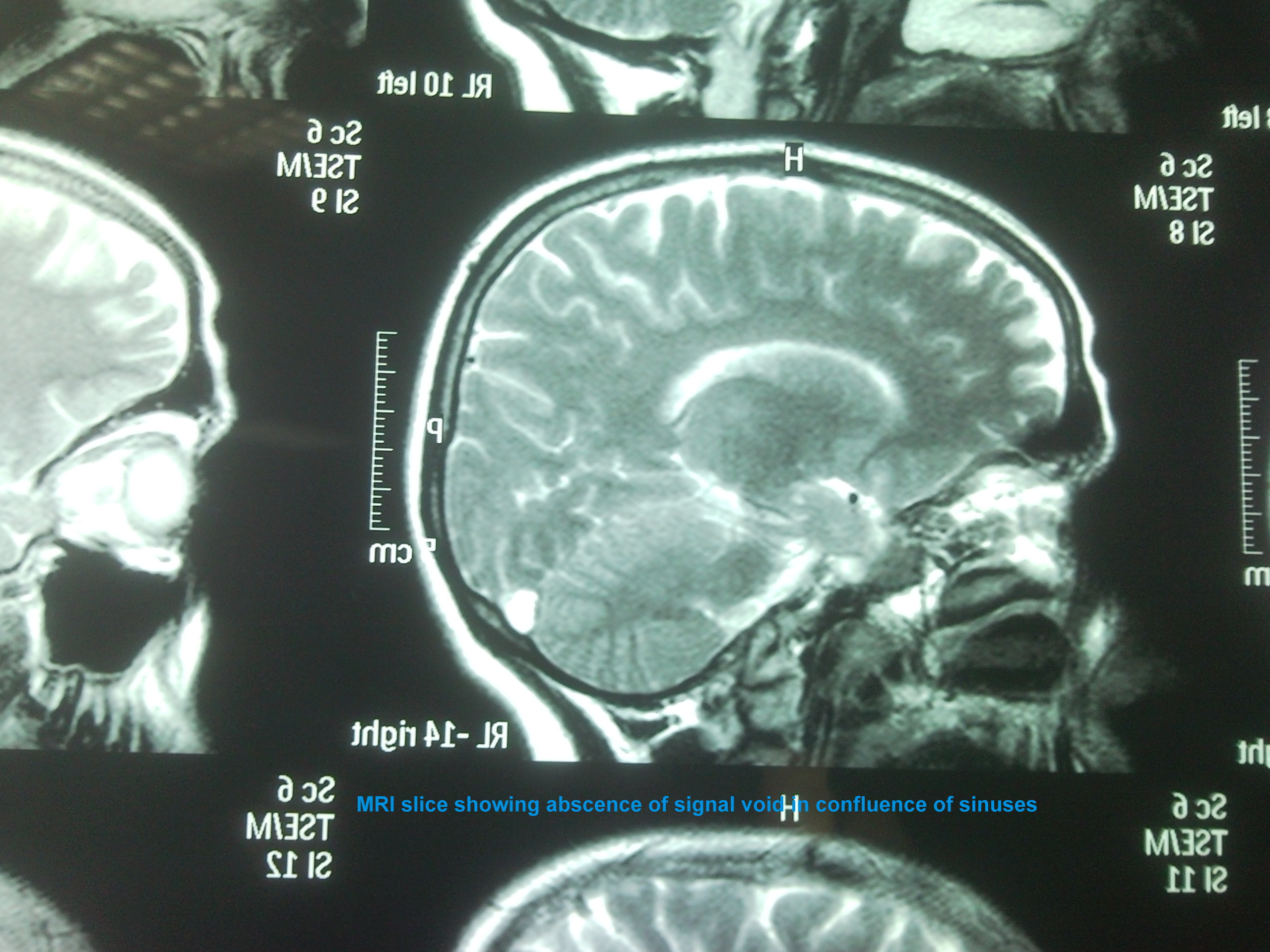
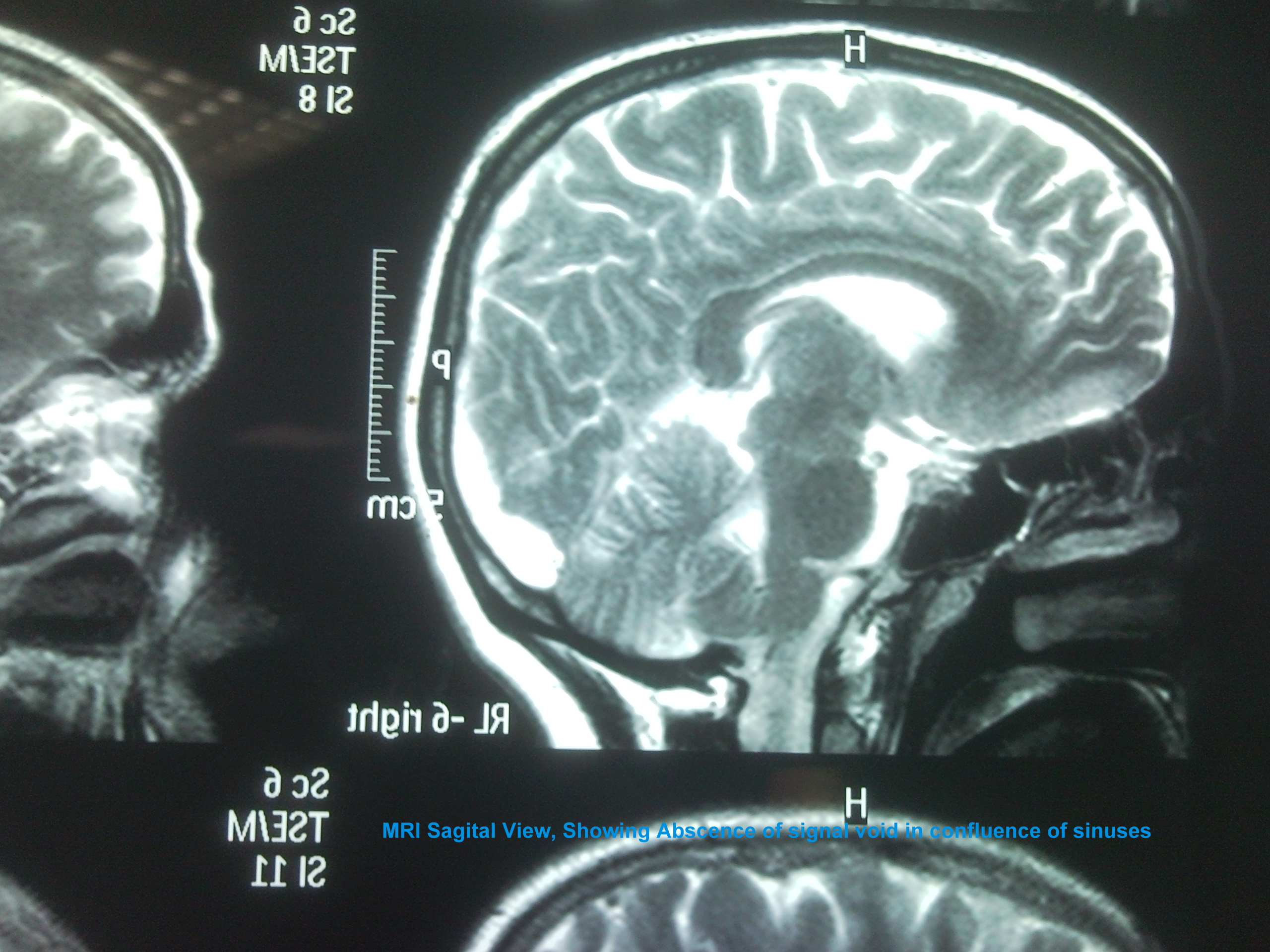
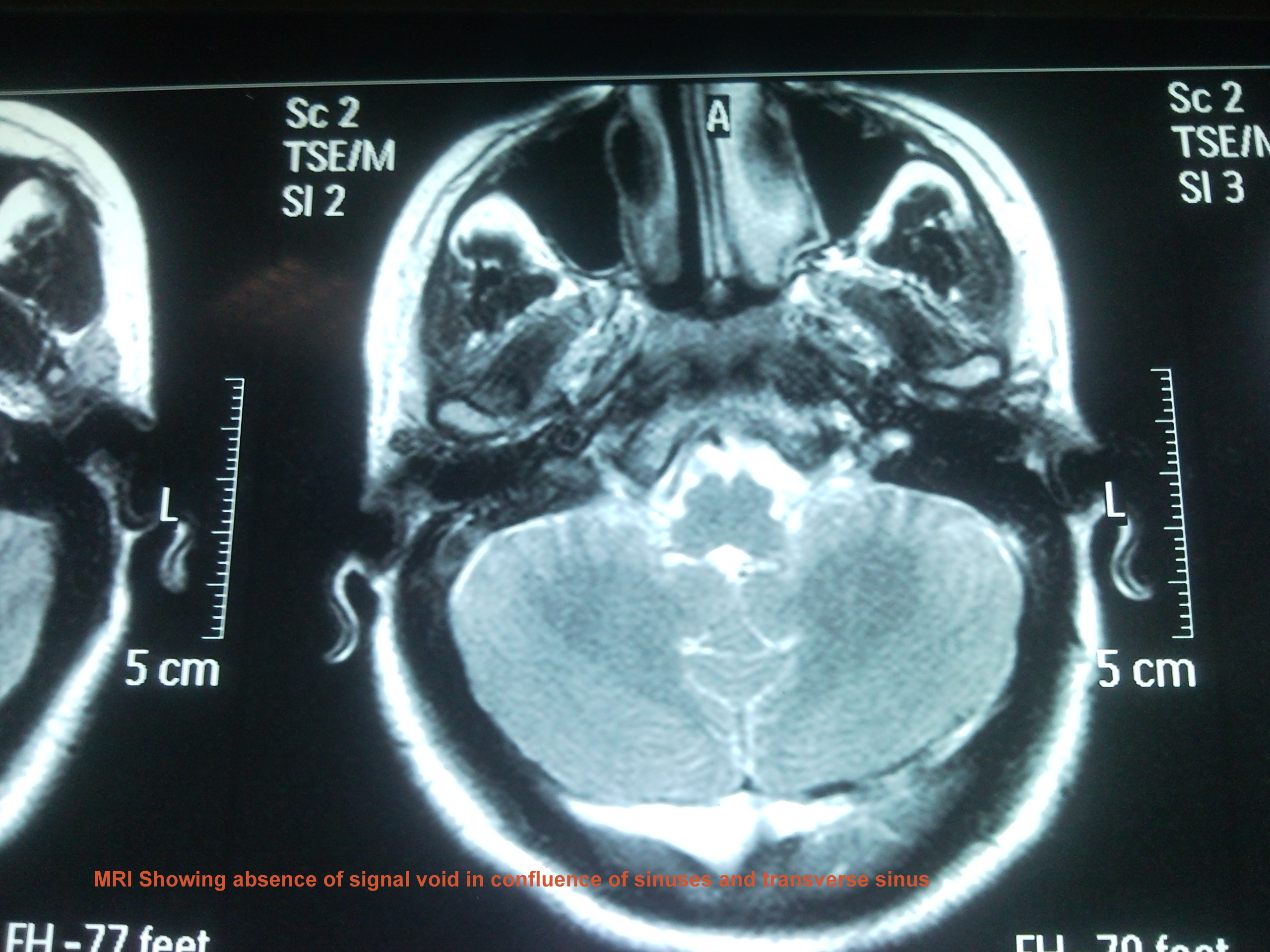
We present a case of 29 years old female patient with 20 days history of headache, projectile vomiting and low grade fever. She was referred from Swat where she was locally treated as acute pyogenic meningitis with no improvement. Patient had right 6th cranial nerve palsy and papilledema. CT brain was unremarkable and MRI brain with MR Venography showed superior sagital, confluence of sinuses and transverse sinus thrombosis.
This article may be cited as: Ahmad S, Ajmal F, Haider I , Subhan F. Cerebral vein and dural sinus thrombosis. KUST Med J 2011; 3(2)1: 61-63.
Article Details
Work published in KMUJ is licensed under a
Creative Commons Attribution 4.0 License
Authors are permitted and encouraged to post their work online (e.g., in institutional repositories or on their website) prior to and during the submission process, as it can lead to productive exchanges, as well as earlier and greater citation of published work.